views
X
Research source
Growth plates are the weakest and softest parts of children’s bones. They are where the bone activity happens, and hence, it is important to have any serious injury checked out quickly by a doctor. Growth plate fractures can happen through falls or getting hit in competitive sports, or even a car accident. They require immediate medical attention and treatment so that your child’s bone can develop properly. You can treat a growth plate fracture by getting medical attention and following care instructions at home.[2]
X
Trustworthy Source
Mayo Clinic
Educational website from one of the world's leading hospitals
Go to source
Seeking Medical Attention and Treatment

Identify symptoms of a growth plate fracture. You may have pain or discomfort and dismiss it as a minor injury. But a growth plate fracture can be serious and affect the way your bone grows. Identifying the symptoms of a growth plate fracture can ensure that you get proper treatment. It can also help the bone heal properly and prevent stunted bone growth or deformity. A growth plate fracture may include: Pain and tenderness at a joint Difficulty moving Difficulty putting weight or pressure on the joint area Warmth and swelling near a joint or end of a bone Visible deformity

See your doctor promptly. If you suspect a growth plate fracture, seek medical treatment as soon as possible. Let the scheduler know why you are calling so that you can see the doctor within 5-7 days of noticing symptoms of the injury. This can ensure proper treatment and minimize the risk of deformity. Go to an emergency or urgent care medical facility if you cannot see the doctor in a timely manner. If an injury hasn't improved or healed after two or three days, you may want to visit the doctor so that the injury can be quickly evaluated. This is especially important with children and teenagers.

Undergo an examination. A doctor is the only person who can diagnose a growth plate fracture. Your doctor will examine the area and may order tests to figure out the severity of the break as well as the best treatment. Give your doctor has much information as possible about the injury. Let them know when it happened, what symptoms you have, and if anything makes it better or worse.

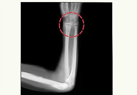
Get imaging tests. In addition to your exam, your doctor may order imaging tests. X-rays or an MRI can give the doctor a better idea of the fracture. They can also help determine the best treatment for you.

Have your fracture fixed. Following your exam and an X-ray or MRI, your doctor will let you know if you have a growth plate fracture. The treatment to fix the fracture will depend on its severity. Fractures that are less severe may need a cast or splint. You may require surgery for more serious fractures. Each treatment helps the growth plate and bone heal properly. This can prevent permanent damage or deformity. Your doctor may set the plate and bone in a cast or splint if your break isn’t severe. You may need surgery if the break is unstable or your bone fragments are displaced. Surgery generally sets the bones in place with screws, wires, or metal plates.
Protecting Your Cast or Surgical Site

Cover your cast. Part of treatment for your fracture is taking care of your cast or splint, or surgical site. This allows your fracture to heal properly and may prevent complications. Your cast keeps the fractured area together. It can also minimize pain, swelling, and muscle spasms. Put a piece of heavy plastic, such as a garbage bag, around the cast when you shower or bathe. Wrap a washcloth around the edges to stop or reduce water seepage as well as skin irritations or infections. Keep any padding intact. Let the doctor know it is bothering you and they may be able to change it.

Avoid dirt, sand, and powder. Skin under a cast can become easily irritated or infected if not kept clean. Things such as dirt, sand, and powder can creep inside your cast while you work or play. Avoiding them may prevent irritation and/or infection. Avoid itching under your cast with items such as hangers. These can injure your skin. If rough edges on your cast or other things cause itching, speak to your doctor before breaking them off, trimming them, or scratching under your cast.

Care for your surgical site. Your fracture may be serious and require surgery to fix it. After your surgery, the doctor will give you instructions to follow to care for the area. Most growth plate fractures require at least 6-8 weeks of recovery. During the recovery, it’s important to keep the site clean and check for possible infection. Proper care of the surgical site can help you heal better and minimize the risk of infection and/or irritation. Wash your hands with soap and water any time you touch a surgical site. Use a clean towel to dry your hands.

Follow your doctor’s orders on when to change any dressings. Remove the bandages by loosening any tape. If it gets stuck, wet the tape and try again. Throw away the old dressing and wash your hands again before putting on new bandages Wash the skin around the site with mild soapy water or a saline solution. Clear away any drainage and any dried blood on your skin. Apply skin cleansers, alcohol, peroxide, iodine, lotion, cream or herbal remedies only if your doctor instructs it. These products can damage wound tissue and slow healing. Fewer products may also help your body heal more naturally. Observe the site for signs of infection. These include swelling, redness, and foul-smelling drainage.
Improving Healing at Home

Rest as much as possible. Let yourself and the fractured area rest as often as you need it. Using the area as little as possible promotes proper healing. Rest can also reduce discomfort and pain. After a few days, start slowly increasing activity, but make sure to protect the injury site as you do so. Wiggle your fingers or toes as often as comfortable. This can help you avoid stiffness.

Place an ice pack on the fracture. Ice can reduce swelling and pain. It can also promote healing. Apply an ice or cool pack to the fracture for 20 minutes at a time. Use it as often as necessary to relieve your discomfort. Wrap the ice pack in a towel. This can protect your skin from the cold and keep moisture out. Remove the pack if your skin gets too cold or numb.

Compress the fractured area gently. Just like ice, compression can minimize swelling and pain. Apply a compressive elastic bandage to your fracture area if your doctor allows it. Keep the area lightly compressed until the swelling is gone or your doctor instructs you to remove it. Recognize that compression can minimize the risk of losing mobility.

Elevate the fractured area. Elevation is another way to reduce swelling and preserve mobility. If your fracture is on your arm or leg, prop it up above your heart with a pillow or other soft object. Do this any time you have swelling or discomfort. Elevate the area for as long as you can. Use a piece of furniture with some pillows to elevate your leg. Consider lying on your bed with the fractured area propped up on pillows for even better elevation and relaxation.

Keep movement to a minimum. Along with rest, avoid moving the fractured area around too much. This can ensure that you heal properly. Wait at least eight weeks to do your usual activities or until your doctor approves getting back to your regular lifestyle.

Take pain medication. You may be in mild to severe pain with a growth plate fracture. Taking a non-steroidal anti-inflammatory medication (NSAID) can reduce not only your pain, but also related swelling. Consider NSAID pain relief such as ibuprofen or naproxen sodium to relieve any pain. Talk to your doctor if you are in severe pain. They may suggest a prescription pain reliever until you begin to feel better. Follow your doctor’s instructions if you are taking any over the counter or prescription pain medication.

Follow up with your doctor. Growth plate fractures can take weeks to heal. Even after they have healed, you should carefully monitor the injury site. Your doctor may recommend certain exercises to increase motion or strength in the area. You may also have to visit your doctor for follow-up examinations for up to a year after the initial injury. This will help your doctor understand that normal growth is occurring after the injury.
Comments
0 comment